El receptor d'una proteïna, possible diana terapèutica pel càncer d'endometri
Un estudi amb la UdL identifica un mecanisme implicat en l'agressivitat dels tumors
Descarregar pdfEnllaç a la fotografia original
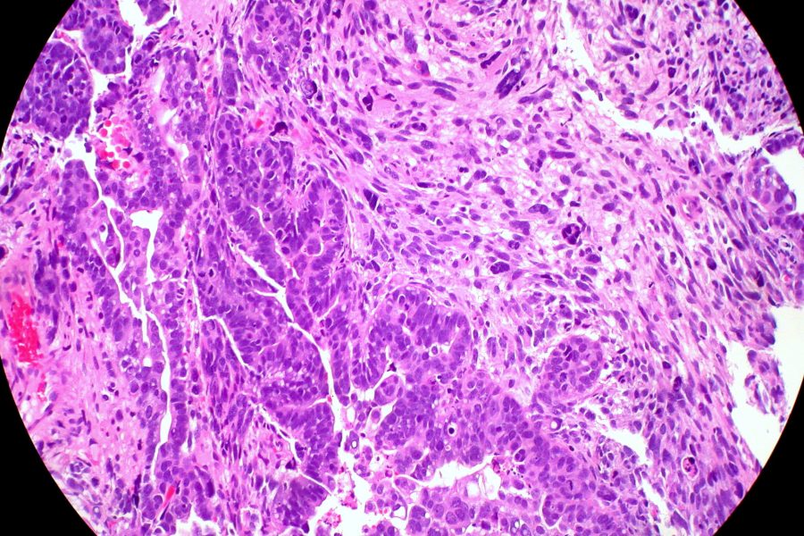
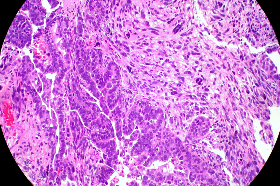
Inhibir la proteïna receptora (CXCR6) d'una molècula anomenada CXCL16 mitjançant fàrmacs o amb edició genètica podria frenar la metàstasi en pacients amb càncer d'endometri, a l'úter. Així ho suggereixen els resultats d'un estudi liderat per personal de l'Institut de Recerca Biomèdica de Lleida (IRBLleida) i la Universitat de Lleida (UdL) que s'acaba de publicar a la revista Cell Death & Disease, del grup Nature. Aquesta citocina forma part de les substàncies que les cèl·lules canceroses alliberen al seu entorn (secretoma) facilitant el creixement del tumor, la seua capacitat d'invasió i una major resistència als tractaments. La descripció d'aquest mecanisme molecular pot contribuir al desenvolupament de teràpies més eficaces.
El càncer d'endometri, en la majoria de casos, presenta un bon pronòstic quan es detecta en fases inicials. Tanmateix, un subgrup de pacients acaba desenvolupant formes més agressives i amb pitjor evolució. "La comprensió de les bases genètiques i moleculars que expliquen aquesta heterogeneïtat és essencial per al desenvolupament de teràpies més eficients i personalitzades", destaca la investigadora i professora de la UdL Núria Eritja.
L'equip ha treballat amb models de ratolí i mostres de teixit humà per identificar aquest mecanisme molecular a les cèl·lules afectades per la pèrdua d'un gen anomenat ARID1A. Així han comprovat que la inhibició de la proteïna CXCR6 o del seu receptor interromp les interaccions patogèniques, dificultant la migració de les cèl·lules canceroses i reduint la càrrega metastàtica. "Això suggereix una possible nova estratègia terapèutica per a pacients amb formes més agressives o avançades de la malaltia", ha explicat la primera autora de l'article, Cristina Megino Luque, que va llegir la seua tesi doctoral a la UdL i actualment treballa al Tisch Cancer Institute de Nova York.
Text: Comunicació IRBLleida / Premsa UdL


